Pineview Dental
Nathaniel Fogel, DDS
Emergency Dentistry
Here When You Need Us

Call us anytime to get the prompt emergency dental care you need.

Emergency Dentistry | Dentist
Don't Wait—Call Us Now with Your Dental Emergency!
Be Seen Today

Emergency Dentistry in Columbia, MD

Dental Doctors at Pineview Dental in Columbia, MDImagine you're home on a Saturday night, watching a movie with your kids. Suddenly, you bite down on a popcorn kernel and feel a sharp pain in your tooth. Panic kicks in. Could this be a dental emergency?

At Pineview Dental, we understand anxiety-inducing moments like this. If you have an urgent dental issue, call us now at (410) 730-3311. We will listen to your concerns, provide reassurance, and explain how to handle the situation until we see you at our Columbia, MD, dental office.

What Constitutes a Dental Emergency?

A dental emergency is any situation involving your teeth, gums, or mouth that requires immediate attention to:

  • Relieve severe pain
  • Stop bleeding
  • Save a tooth
  • Address serious infection

When in doubt, always call Pineview Dental first so we can help you!

Why Prompt Emergency Dental Care Is Crucial

Unless you're in complete agony, it can be tempting to postpone emergency dental care—especially if you don't like going to the dentist or haven't been in a long while. Pineview Dental is a judgment-free practice, and our only focus is getting you out of pain and resolving your issue, so you can get back to your busy life.

Prevents Worsening Problems
What starts as a small crack can quickly progress to an infected tooth requiring root canal therapy or extraction if left untreated. These conditions can have long-term consequences for your oral health.
Relieves Tooth Pain Promptly
Dental emergencies often involve significant pain that affects your ability to eat, sleep, and concentrate. Immediate care targets the source of pain rather than just masking symptoms with medication.
More Cost Effective Than Waiting
Delaying emergency dental care often leads to more extensive and expensive treatments down the road. What might be resolved with a simple filling today could require a crown or root canal tomorrow.

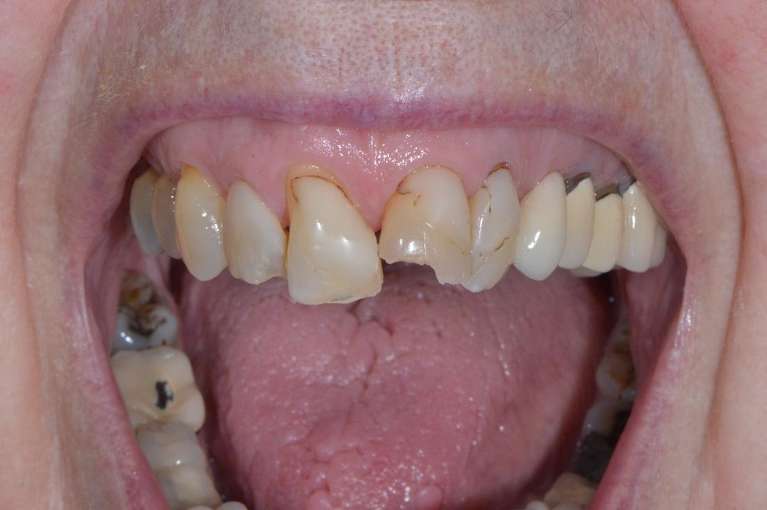
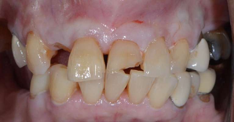
Common Dental Emergencies

flowers in dental exam room at pineview dental Recognizing when to seek emergency dental care can make the difference between saving and losing a tooth or preventing a minor issue from becoming a major problem. Common dental emergencies we see at our Columbia, MD, dental office include:

  • Severe Toothache  Persistent, throbbing pain can indicate infection or deep decay reaching the tooth's nerve.
  • Knocked-Out Tooth — A completely dislodged tooth requires immediate attention and often results from sports injuries, falls, or accidents.
  • Broken or Cracked Tooth — From minor chips to major fractures, broken teeth can leave jagged edges that cause irritation and expose the tooth's inner layer, leading to infection if not treated promptly.
  • Lost Filling or Crown — When a restoration comes loose or falls out, the exposed tooth becomes vulnerable to further damage and sensitivity.
  • Abscess or Swelling — Pockets of infection that can cause facial swelling, fever and, if untreated, can spread to other parts of the body.
  • Soft Tissue Injuries — Cuts, tears, or lacerations to the lips, tongue, cheeks, or gums that won't stop bleeding.

Frequently Asked Questions

While some dental emergencies result from unexpected accidents, many can be prevented with proactive care and smart habits. Our team at Pineview Dental believes in helping patients avoid the pain, inconvenience, and expense of emergencies whenever possible.

Follow these preventive measures to reduce your risk:

  • Maintain Regular Dental Visits — Six-month checkups with our dentist in Columbia, MD, allow Dr. Fogel to identify potential problems like small cracks, weakening fillings, or early infections before they escalate into painful emergencies.
  • Address Issues Promptly — Don't ignore warning signs like sensitivity, mild pain, or visible changes to your teeth. What starts as a minor concern often becomes an emergency when left untreated.
  • Practice Excellent Home Care — Thorough brushing and flossing remove the bacteria that cause decay and infection, two common causes of dental emergencies.
  • Protect Your Teeth During Sports —Wear a custom-fitted mouthguard during sports or recreational activities where impact is possible. For those who grind their teeth at night, a nightguard prevents cracks and fractures that often lead to emergency visits.
  • Be Mindful of What You Chew — Avoid using your teeth as tools to open packages or bite fingernails, and steer clear of chewing ice, popcorn kernels, or hard candies that can crack teeth unexpectedly.

If you experience a problem, Pineview Dental provides prompt emergency dentistry for patients throughout Howard County, including Columbia, Ellicott City, and surrounding communities. Call us at (410) 730-3311 for guidance and same-day treatment.

Call Our Emergency Dentist in Columbia, MD

Dental emergencies don't follow a nine-to-five schedule, and neither do we when it comes to urgent care. If you're experiencing dental pain, trauma, or any concerning changes, call Pineview Dental immediately at (410) 730-3311.

For serious emergencies, we make every effort to provide same-day appointments for patients in Howard County, including Columbia, Ellicott City, and surrounding communities. Our team's priority is getting you out of pain and on the path to recovery as quickly as possible.

Don't wait and wonder if your situation "counts" as an emergency—contact us, and we'll help you determine the best course of action for your specific needs.

Testimonial

Kind and Understanding

Dr. Fogel & everyone on staff at Pineview Dental are incredibly kind and understanding, as well as thorough to explain what would take place. I was able to get an appointment for an emergency that I had quite a lot of anxiety about, but was so relieved afterwards. Thanks so much!!!
-Amy
 

See More Testimonials

BLOGS

woman covering her smile in columbia md

When Dental Work Fails: Early Warning Signs & What You Should Do Immediately

October 22, 2025

Dealing with a failing crown, bridge, or dental implant is stressful! Eating and chewing comfortably could become challenging, while a compromised restoration could also impact your smile. 

Did you know, however, that there are some warning signs if a restoration is failing and steps you can take to minimize problems if it does? Here's what you should know. 

Understanding Dental Crowns

A crown covers your tooth completely, protecting the integrity of your remaining tooth structure and root. If a dental crown is failing, these are some of the signs:

  • Temperature Sensitivity
  • Loose Fit
  • Unstable ...
View More
woman with a toothache in columbia md

Why Hospital Emergency Rooms Can’t Do Emergency Dentistry

March 11, 2025

Even in Columbia, MD, Emergency Dentistry is an all too common need. We mentioned in our last blog the scary fact that one in six Americans have had a dental emergency in the past 12 months.

Unfortunately, many of those people are going to the wrong place for emergency dentistry. More than 800,000 ER visits a year are for toothaches and other avoidable dental emergencies.

The truth is, hospital emergency rooms can do very little to help you with an emergency toothache, emergency root canal or other emergency dentistry. The result is usually ...

View More
Prompt Emergency Dental Care in Columbia, MD
If you have difficulty using our website, please email us or call us at (410) 730-3311
View the ADA Accessibility Statement
Privacy Policy